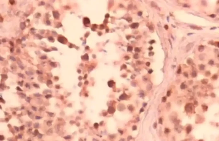
Watch: German pathologist finds COVID jab spike protein in testes of dead man
The subject, a father of one, was also found to have almost no sperm. German pathologist Dr. Arne Burkhardt has been at the forefront of COVID-19 ‘vaccine’ pathology for three years, conducting autopsies on dead mRNA vaccinated people for research purposes. A recent article by New Zealand Doctors Speaking Out with Science (NZDSOS) explained Burkhardt’s … Continue reading Watch: German pathologist finds COVID jab spike protein in testes of dead man
Copy and paste this URL into your WordPress site to embed
Copy and paste this code into your site to embed